Incognito - die unsichtbare Behandlung
Incognito bietet eine alternative Möglichkeit, schöne Zähne zu erhalten, ohne eine aus vielerlei Gründen als unästhetisch empfundene, deutlich sichtbare festsitzende Zahnspange tragen zu müssen.
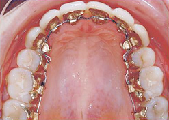
Die Zahnspange wird innen und somit ganz "incognito" getragen. Eine diskrete Lösung für alle die von Berufs wegen in der Öffentlichkeit stehen.
Komfortables Tragegefühl
Zum komfortablen Tragegefühl trägt auch das erstaunlich flache Design der am Zahn befestigten Brackets bei. Diese werden individuell an die Zahninnenseite angepasst und liegen flach genug an, um das Sprechen nicht zu beeinträchtigen.
Individuell für Sie gefertigt
Die Brackets und Bögen werden individuell für Ihre Zähne im Labor angefertigt und die Behandlung geht schnell und unkompliziert. Die Brackets selbst bestehen aus einer hochgoldhaltigen Metalllegierung, die besonders schonend zum Organismus ist und sich in besonders hohem Maße für Allergiker eignet.
Behandlung
Vorher
Nachher
Behandlungsablauf mit Incognito
1. Alles beginnt mit einem Abdruck
Um eine Behandlung mit dem Incognito System zu beginnen, muss zuvor ein Abdruck der Kiefer genommen werden. Mit den Gipsmodellen, die von den Abdrücken angefertigt werden, wird ein individuelles therapeutisches Setup erstellt. Mithilfe eines Artikulators und einer Bissregistratur wird die korrekte Stellung der Kiefer simuliert.
2. Konstruktion patientenspezifischer Brackets
Eine spezielle CAD/CAM Software ermöglicht die Konstruktion patientenspezifischer Brackets. Der Herstellungsprozess beginnt mit dem Erstellen individueller Basen auf der Lingualfläche der Zähne. Da der Scan hochpräzise Daten liefert, passen die Basen perfekt auf die Zähne.
3. Die Positionierung der Bracket Bodies
Nach dem Design der Bracket Basis werden die passenden Bracket Bodies aus dem digitalen Archiv geladen und mit Hilfe der Software positioniert. Die vertikale Ausrichtung, Torque und Angulation sind für jedes Bracket vordefiniert. So können die speziellen Bedürfnisse jedes Patienten bei der Bracketherstellung berücksichtigt werden. Zu sehen ist ein komplettes Bracketset mit Bogenverlauf.
4. Die Trayherstellung
Die Goldbrackets werden auf der Klebebasis vorbehandelt und nach der Kontrolle aller drei Dimensionen exakt auf das Malokklusions-Modell geklebt. Die anschließende Herstellung eines Trays direkt auf dem Modell stellt die genaue Übertragung der Brackets vom Modell auf die Zähne des Patienten sicher. Goldbrackets auf dem Original-Malokklusionsmodell.
5. Guss der individuellen Brackets
Brackets nach dem Guss. Zunächst bauen „Rapid Prototyping” Maschinen Wachsmodelle der individualisierten Brackets. Diese werden dann in eine Muffel eingebettet und anschließend ausgebrannt. Die entstandenen Hohlräume werden mit einer hochgoldhaltigen Dentallegierung ausgegossen. So entstehen die individuellen Brackets, die im Anschluss maschinell geschliffen und poliert werden, um einen hohen Komfort für den Patienten sicherstellen zu können.
6. Bogenherstellung
Die Bogengeometrie wird von dem CAD/CAM Programm exakt berechnet, um dann von einem Biegeroboter gebogen zu werden. Jeder Bogen für einen Patienten hat die exakt gleiche Geometrie und zielt auf die durch das Setup geplante Endstellung ab.
7. Das Ergebnis - Die Incognito Apparatur
Die Incognito Apparatur. Das Ergebnis dieses Prozesses ist das Incognito Lingual Bracket System, ein hochpräzises und zu 100% individuelles System, mit dem ein optimales Behandlungsergebnis bei gleichzeitig höchstem Patientenkomfort erreicht wird.
Vorteile
- Von außen unsichtbar
- Befestigung der Brackets auf der Zahninnenseite
- Hohe Passgenauigkeit
- Kurze Behandlungsdauer
- Individuell für Sie angefertigt nach Ihrem individuellen Zahnabdruck
- Hochwertige Behandlungsergebnisse
- Für jedes Alter geeignet








